暮らしに役立つ 医療のおはなし 47
図1
図2
肺癌のお話  やなせ内科呼吸器科クリニック院長 柳瀬 賢次

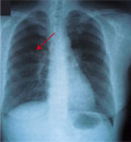
 今回は「肺癌」のお話をします。図1、2は咳が続いていた40歳代の女性で、左肺に指先程度の小さなしこりがありました。入院して精密検査を受けましたが、しこりも小さく診断がつきませんでした。肺癌の可能性が考えられましたので手術を受けた結果、やはり肺癌でした。早期の肺癌で、手術により治癒しております。
 図3、4は50歳代の男性で、やはり肺癌でした。医療機関に受診したときにはすでに脳に転移しており、治療の甲斐なく半年ほどで他界されました。

■肺癌は癌死亡の第一位
 
図3
図4
肺癌は、男性では1993年(平成5年)に胃癌を抜いて死亡率が第一位に、1998年には男女合わせても第一位となりました。肺癌による死亡者数は増加傾向が続き、2006年時点でも第一位で全がん死の約1/5を占めています。

■喫煙は肺癌の最大の原因
 タバコ煙の中にはベンゼンなど100以上の発癌物質が含まれており、喫煙は肺癌の最大の原因です。肺癌患者の80〜85%は喫煙者で、喫煙者が肺癌になる確率は非喫煙者の10〜20倍。喫煙開始年齢が若く、喫煙年数が長いほど肺癌になりやすいといわれています。なお、同じ喫煙量でも女性の方が肺癌になる危険性は高くなります。自分が喫煙していなくても、他人のタバコの煙を吸い込む「受動喫煙」でも肺癌の危険性は21〜26%程度高くなるといわれています。
 禁煙すると肺癌になる危険性は低下し、禁煙開始年齢が若いほどその効果は大きいのです。欧米では喫煙率の低下に伴い、肺癌の発生率が徐々に低下してきています。
 また、慢性閉塞性肺疾患(COPD)、気管支喘息、珪肺、アスベスト症などで肺癌の危険性が高くなります。

■肺癌の症状
 肺癌に特徴的な症状があれば診断しやすいのですが、それはありません。症状のある肺癌患者さんでは、咳、痰、血痰、発熱、呼吸困難、胸痛等が主な症状です。これらの症状は、肺炎、結核、その他の呼吸器疾患でも見られる症状です。胸部レントゲン写真を撮影して、肺癌を思わせる影が発見されて初めて正しい診断に進みます。
 肺癌は進行するまで症状の出ないことが多く、症状があって発見・診断された肺癌は、検診発見の肺癌と比較すると、進行肺癌の頻度が高く、診断の後の経過が悪いといわれています。

■肺癌検診
 40歳以上の方は、毎年肺癌検診を行うようになっています。「胸部レントゲン写真」と「喀痰細胞診」です。浜松市では、胸部レントゲン写真の診断は2段階で行われます。開業医等の医療機関で第一段階の診断がされ、次にレントゲンフィルムが浜松医師会に集められ呼吸器専門医たちによる第二段階の診断がなされます。そこで肺癌等が疑われる異常が発見された場合には精密検査となります。
 「喀痰細胞診」は専用容器に3日間痰をとり癌細胞がないか検査する方法です。太い気管枝に発生した早期の癌は胸部レントゲンでは発見できないことが多く、「喀痰細胞診」で発見されることがありますので、特に喫煙歴の長い方に必要な検査です。



発行/萩野原メディカル・コミュニティ